본문 바로가기

SMILE 365 DENTAL CLINIC

스마일 심미치료

SMILE365 DENTAL CLINIC

앞니 재보철

  • SMILE EVERY DAY DENTAL CLINIC
    앞니 보철이란?

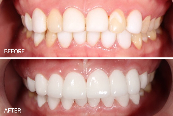
    기존 앞니 보철물이 주변 치아나 잇몸과
    조화롭지 못하거나 형태, 크기 등이 부자연스러운 경우
    재보철 치료를 통해 자연스럽고 심미적인 앞니로
    다시 보철치료하는 치료법입니다.

스마일365 심미치료

앞니 재보철이 필요한 경우

  • 기존 보철물에 의한 치아의 변색

    전악 지르코니아 크라운 하루 만에 진행한 케이스이며,
    환자분이 하얀 치아 디자인을 원하셔서
    맞춤 디자인으로 진행하였습니다.